1516 Legacy Cir, Naperville, IL 60563
What is Wisdom Tooth Pain? Comprehensive Guide

Wisdom teeth, also known as third molars, are the last set of teeth to erupt in the mouth, typically emerging between the ages of 17 and 25. Unfortunately, wisdom teeth often don’t have enough space to erupt properly, leading to a variety of problems and the dreaded wisdom tooth pain.
This pain can range from a dull ache to a sharp, throbbing sensation and can be accompanied by other bothersome symptoms. Understanding the causes and symptoms of wisdom tooth pain is crucial for seeking timely treatment and alleviating discomfort.
Causes of Wisdom Tooth Pain
Several factors can contribute to wisdom tooth pain:
- Impaction: This is the most common cause of wisdom tooth pain. When there isn’t enough room in the jaw for the wisdom tooth to erupt fully, it becomes impacted. This can lead to pressure on surrounding teeth, nerves, and tissues, causing pain and inflammation.
- Infection: Impacted wisdom teeth are more susceptible to infection due to trapped food particles and bacteria under the gum flap. This infection, known as pericoronitis, can cause significant pain, swelling, and tenderness in the jaw.
- Crowding: Even if the wisdom tooth erupts partially, it can crowd other teeth, causing them to shift and become misaligned. This misalignment can lead to pain and difficulty chewing.
- Gum inflammation: The pressure from erupting wisdom teeth can irritate the gums, causing swelling, redness, and pain, especially when chewing.
- Damage to nerves: In some cases, wisdom teeth can press on or damage nerves in the jaw, leading to persistent pain, numbness, or tingling in the jaw, face, or tongue.
Symptoms of Wisdom Tooth Pain
Wisdom tooth pain can manifest in various ways, and the severity can vary depending on the underlying cause. Here are some common symptoms:
- Throbbing or aching pain in the jaw, specifically around the wisdom tooth area
- Swollen, red, and tender gums around the wisdom tooth
- Difficulty chewing or biting due to pain
- Bad breath or unpleasant taste in the mouth
- Difficulty opening the mouth wide (trismus)
- Facial swelling
- Swollen lymph nodes in the neck
- Earache (referred pain from the wisdom tooth)
When to See a Dentist
If you experience any of the following symptoms, it’s crucial to see a dentist as soon as possible to prevent complications:
- Severe and persistent pain
- Difficulty breathing or swallowing
- Fever and chills (signs of infection)
- Facial swelling that worsens rapidly
- Inability to open your mouth completely
Diagnosis of Wisdom Tooth Pain
Diagnosing wisdom tooth pain usually involves a dental examination that includes:
- Visual examination: The dentist will visually inspect your mouth and gums to assess the wisdom tooth’s position and any signs of inflammation or infection.
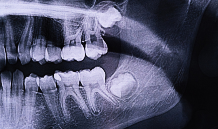
- X-rays: Dental X-rays, including panoramic X-rays, will reveal the position and angulation of the wisdom teeth, helping determine if they are impacted and their proximity to nerves and other structures.
Treatment Options for Wisdom Tooth Pain
The most common treatment for wisdom tooth pain is extraction. Here’s a breakdown of the different approaches:
- Simple extraction: This is performed for fully erupted wisdom teeth with no complications. A local anesthetic numbs the area, and the dentist removes the tooth using forceps.
- Surgical extraction: This is necessary for impacted wisdom teeth or those located close to nerves or other structures. It may involve making an incision in the gum tissue and removing bone to access the tooth. Oral sedation or general anesthesia may be used for surgical extraction.
Wisdom Tooth Extraction Recovery
Following wisdom tooth extraction, you can expect some swelling, discomfort, and bleeding for a few days. Your dentist will provide specific recovery instructions, which may include:
- Applying ice packs to the area to reduce swelling
- Taking pain medication as prescribed
- Using warm salt rinses to cleanse the extraction site
- Eating soft foods and avoiding strenuous activity for a few days
- Maintaining good oral hygiene by brushing and flossing gently
Wisdom Tooth Pain: Finding Relief Until You See a Dentist
Wisdom teeth, also known as third molars, are the last teeth to erupt in the mouth, typically between the ages of 17 and 25. Often, there isn’t enough space in the jaw for them to come in properly, leading to impaction, pain, and inflammation. While a dentist in Naperville or oral surgeon is the best course of action for addressing wisdom tooth problems, some home remedies can offer temporary relief until your appointment.
Important Note: These home remedies are meant to provide temporary comfort, not a cure. If you’re experiencing wisdom tooth pain, it’s crucial to schedule a visit with your dentist to determine the best course of treatment.
Here are some ways to manage wisdom tooth pain at home:
- Over-the-counter pain relievers: Medications like ibuprofen (Advil, Motrin) or acetaminophen (Tylenol) can help manage pain and inflammation. Be sure to follow the dosage instructions carefully and consult your doctor if you have any underlying health conditions or are taking other medications.
- Cold compress: Apply an ice pack wrapped in a thin towel to the outside of your cheek, near the affected area, for 15-20 minutes at a time. Repeat every few hours as needed. The cold helps reduce inflammation and numb the area for temporary pain relief.
Frequently Asked Questions:
- What are some signs of wisdom tooth problems?
Wisdom tooth problems can cause various symptoms, including:
* Pain in the jaw or around the wisdom tooth
* Swelling of the gums or cheek
* Redness or tenderness in the gums
* Difficulty opening your mouth
* Bad breath or unpleasant taste in your mouth
* Difficulty chewing
- Can I use clove oil for wisdom tooth pain?
Clove oil has natural numbing properties and may offer some pain relief. However, use caution: clove oil can irritate the gums if not diluted properly. Here’s how to use it safely:
- What about salt rinses? Can they help?
Saltwater rinses can help reduce inflammation and dislodge any food particles trapped around the wisdom tooth. Mix half a teaspoon of table salt into a warm glass of water and swish thoroughly for 30 seconds before spitting. Repeat several times a day.
- What foods should I avoid with wisdom tooth pain?
Stick to soft foods that are easy to chew and won’t irritate the wisdom tooth area. Avoid hard, crunchy foods (nuts, chips), chewy foods (caramels, gummies), and very hot or cold foods.
- When should I see a dentist about my wisdom teeth?
If you’re experiencing any wisdom tooth pain, swelling, or difficulty opening your mouth, schedule a visit with your dentist as soon as possible. Early diagnosis and treatment can help prevent complications like infection or damage to surrounding teeth.
Remember, home remedies are for temporary relief only. Consulting a dentist is crucial for addressing the underlying cause of wisdom tooth pain and determining the best course of treatment, which may involve extraction.







