1516 Legacy Cir, Naperville, IL 60563
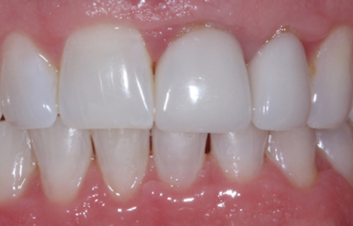
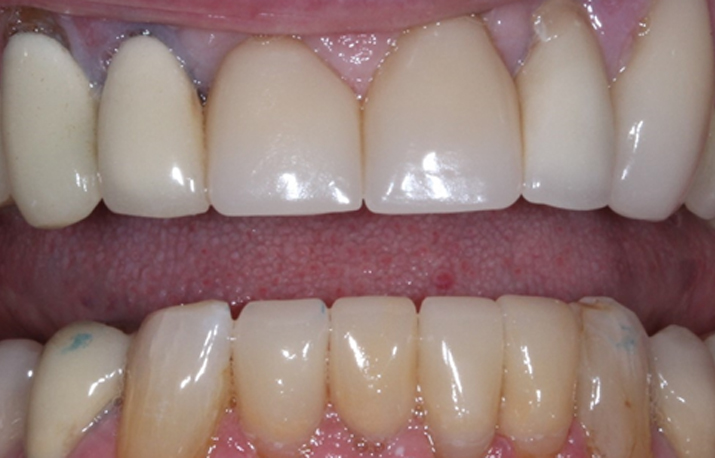
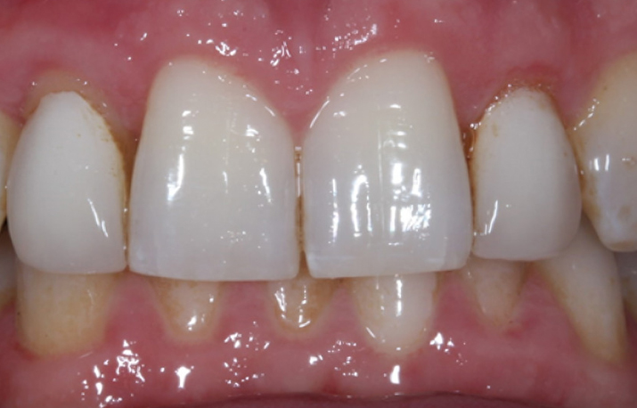
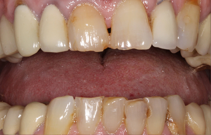
Same Day Smile Makeover
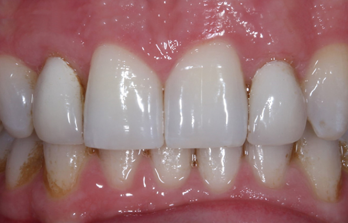
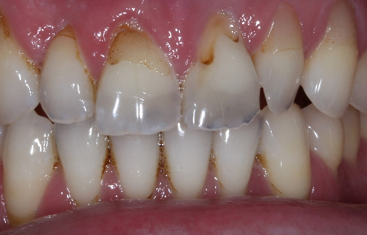
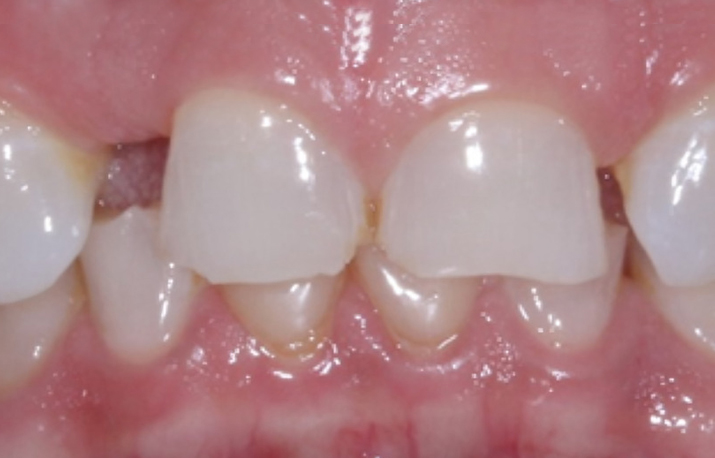
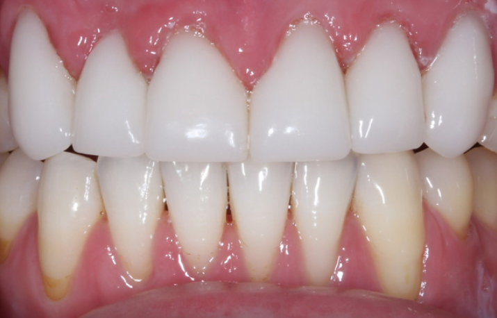
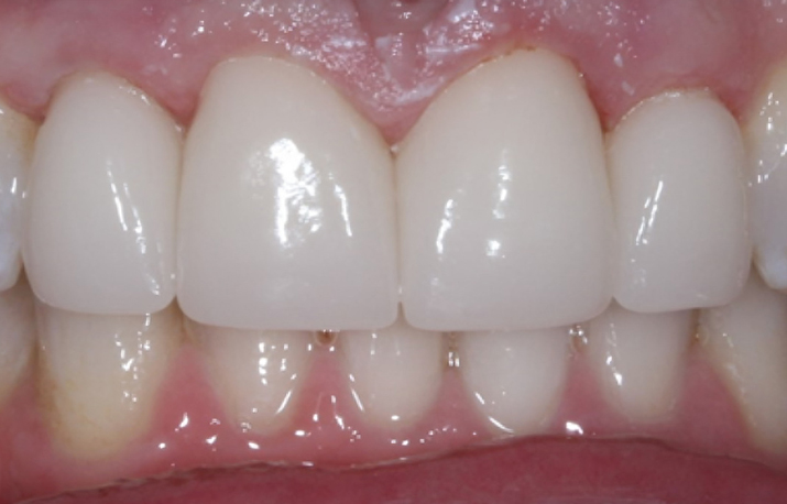
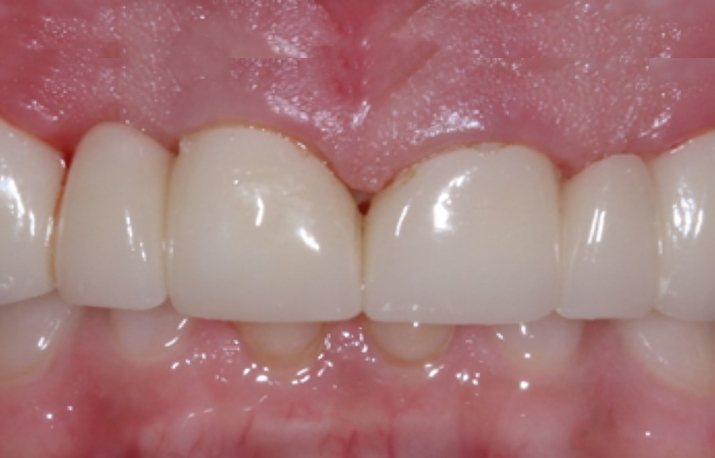
This patient came to us with a smile that showed signs of wear and decay. His lower front teeth, in particular, had cavities and were worn down, affecting both the aesthetics and function of his smile. In April 2024, we completed a same-day smile makeover on his lower front teeth using our advanced CEREC technology. The results speak for themselves. The worn teeth were restored, cavities were treated, and the overall appearance of the smile was dramatically improved—all in just one visit.






