1516 Legacy Cir, Naperville, IL 60563
What’s the Difference Between Plaque and Tartar?

Often when you visit your dentist they will discuss with you how you’re doing with your oral hygiene and they may even offer tips to help make it better. If they have used the terms plaque and tartar when discussing the build-up on your teeth, you may be wondering what they are referring to. At Living Well Dental Group, we feel it’s important that our patients are well informed so we will go into depth about the differences between tartar vs plaque on teeth, the negative effects they have on your teeth, and what you can do to avoid this sort of build-up from occurring on your teeth.
What is Dental Plaque?
Dental plaque is an uncolored film that continuously forms on the teeth. It is very sticky which makes it difficult to remove without the use of a toothbrush. Bacteria live within the film which secretes acid that causes harm to the teeth and gums. Plaque build-up is the number one cause of cavities, gingivitis and periodontal disease.
Causes of Dental Plaque
Dental Plaque builds-up on your teeth from the normal bacteria within our mouth binding with the food particles we eat. This is a continuous process throughout the day and it forms on our teeth within a few hours of brushing. This is why good oral hygiene including brushing twice a day and flossing once a day, along with biannual dental visits are so important. Adding a daily fluoridated mouth rinse to your daily routine would benefit those that build more plaque than the average person. At Living Well Dental Group, we will customize a dental routine that best fits your needs.
Dental Plaque Treatment
Dental Plaque is continuously forming on your teeth. Therefore, having a good daily oral hygiene routine is important. This should include:
- Brushing 2 times a day (for 2 minutes each time)
- Flossing once per day
- Using a fluoridated mouth rinse once per day
- Avoiding sugary foods
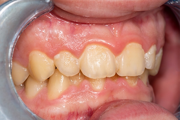
What is Tartar (also known as calculus)?
Tartar also known as calculus is plaque that has hardened on your teeth. This usually occurs once the plaque has remained on your teeth for at least 4-8 hours. Tartar cannot be removed with a toothbrush. It needs to be professionally removed by your Dentist or Hygienist. Calculus creates stains and can be seen in your mouth. Leaving calculus on your teeth for extended periods of time can increase your risk to cavities, gingivitis and periodontal disease. This is why it is so important to visit your dentist at least 2 times a year. For those that build excess tartar they should visit the dentist more often. At Living Well Dental Group, we can help to determine what the best recall interval is for you.
How Does Plaque Become Tartar?
Plaque becomes tartar once it is left on your teeth for at least 4-8 hours. The process involves the plaque using minerals from your saliva to harden on your teeth. Unlike plaque, tartar cannot be removed. It will require a professional cleaning to remove the tartar. Your Dentist or Hygienist will use special tools to remove the tartar build-up from your teeth. If the build-up has caused damage to the bone support around your teeth a deep cleaning may be necessary. This procedure can be complete with little to no pain.
Dental Calculus Treatment
Because dental calculus is hardened on the teeth, it will need to be professionally removed during a dental cleaning. For dental professionals this is a pretty easy task. Dental Calculus needs to be removed from your teeth at a minimum of every 6 months. For those that build it faster may need to visit their dentist for a dental cleaning every 3-4 months.
Tips for Preventing Plaque and Calculus
- Brush your teeth at a minimum of 2 times a day
- Brush for 2 minutes
- Floss your teeth once per day
- Use a fluoridated toothpaste
- Use a mouth rinse once per day
- Avoid sugary or starchy foods
- Drink lots of water
- Visit your dentist at least 2 times a year
- Do not use tobacco products
Conclusion on Plaque
The difference between plaque vs tartar is that plaque is a sticky film that builds-up on your teeth which will turn into tartar if not removed. The best way to avoid plaque and tartar build-up on your teeth is good oral hygiene and regular dental visits. This will also avoid needing costlier dental visits from the negative effects of the plaque and tartar on your teeth. Next time you visit your dentist for your regular check-up ask how well you’re doing with your oral hygiene and for tips on what you can do to improve.
Call Naperville’s Top Dental Experts
If you’re concerned about plaque or tartar build-up on your teeth and would like to have a customized oral hygiene program designed just for you, reach out to our caring team at Living Well Dental Group. We look forward to meeting you. Call today at (630) 505-1516 or reach out to us out online.







